Laufende Forschungsprojekte
Unser übergreifendes Forschungsinteresse gilt der Untersuchung der vielschichtigen Rolle der Bildgebung im gesamten Spektrum autoimmuner rheumatischer und degenerativer Erkrankungen des Bewegungsapparats. Laufende Forschungsprojekte widmen sich dem Verständnis der Rolle von Entzündungen und strukturellen Schäden bei Gelenkschmerz in verschiedenen Arthritis-Arten, der anatomischen Grundlage von Entzündungen in kleinen Gelenken der Hände sowie dem Nutzen neuartiger PET-Tracer bei der Diagnose und Vorhersage interstitieller Lungenerkrankungen bei Bindegewebserkrankungen wie Myositis.
Sehnenbeteiligung bei Hand-Osteoarthrose (HOA)
Tenosynovitis ist ein entzündlicher Prozess, der die Synovialscheide der Sehnen betrifft und bei verschiedenen rheumatischen und muskuloskelettalen Erkrankungen auftritt. Sie geht mit Schmerzen und anhaltender Tenosynovitis einher und kann zu Verwachsungen und Funktionsstörungen führen. Es gibt jedoch nur wenige Daten über die Beteiligung von Sehnen bei Arthrose der Hand, einer weit verbreiteten Erkrankung des Bewegungsapparats. Ziel dieser Studie, die im Rahmen des Ludwig Boltzman Instituts für Arthritis und Rehabilitation durchgeführt wurde, war es, die Sehnenbeteiligung bei HOA zu charakterisieren, ihre Häufigkeit und ihren Einfluss auf die Schmerzen und die Handfunktion zu bewerten sowie ihren möglichen Zusammenhang mit dem Vorhandensein von Osteophyten zu untersuchen. Das Projekt wird vom Medizinisch-Wissenschaftlichen Fonds des Bürgermeisters von Wien finanziert.
OMERACT-Ultraschall-Arbeitsgruppe
Mitglieder unserer Forschungsgruppe sind aktiv an mehreren Untergruppen der OMERACT-Ultraschall-Arbeitsgruppe beteiligt und haben zur Entwicklung von sonographischen Ergebnismessungen bei rheumatoider Arthritis beigetragen oder diese geleitet. Dazu gehören Knorpelveränderungen und strukturelle Schäden bei rheumatoider Arthritis, sonographische Läsionen bei Gicht und Kalzium-Pyrophosphat-Ablagerungen, Enthesitis, Daktylitis und Synovitis. Zu den aktuellen Arbeiten gehört die Standardisierung des Konsensfindungsprozesses und der Zuverlässigkeitsübungen, die das Markenzeichen der Gruppe sind.

Entwicklung von Outcome-Instrumenten auf der Grundlage der Bildgebung nach dem OMERACT-Stufenmodell, das die vier Schritte des Auswahl- und Entwicklungsprozesses zeigt. Terslev L et al. J Rheum. 2019;46:1394-1400.
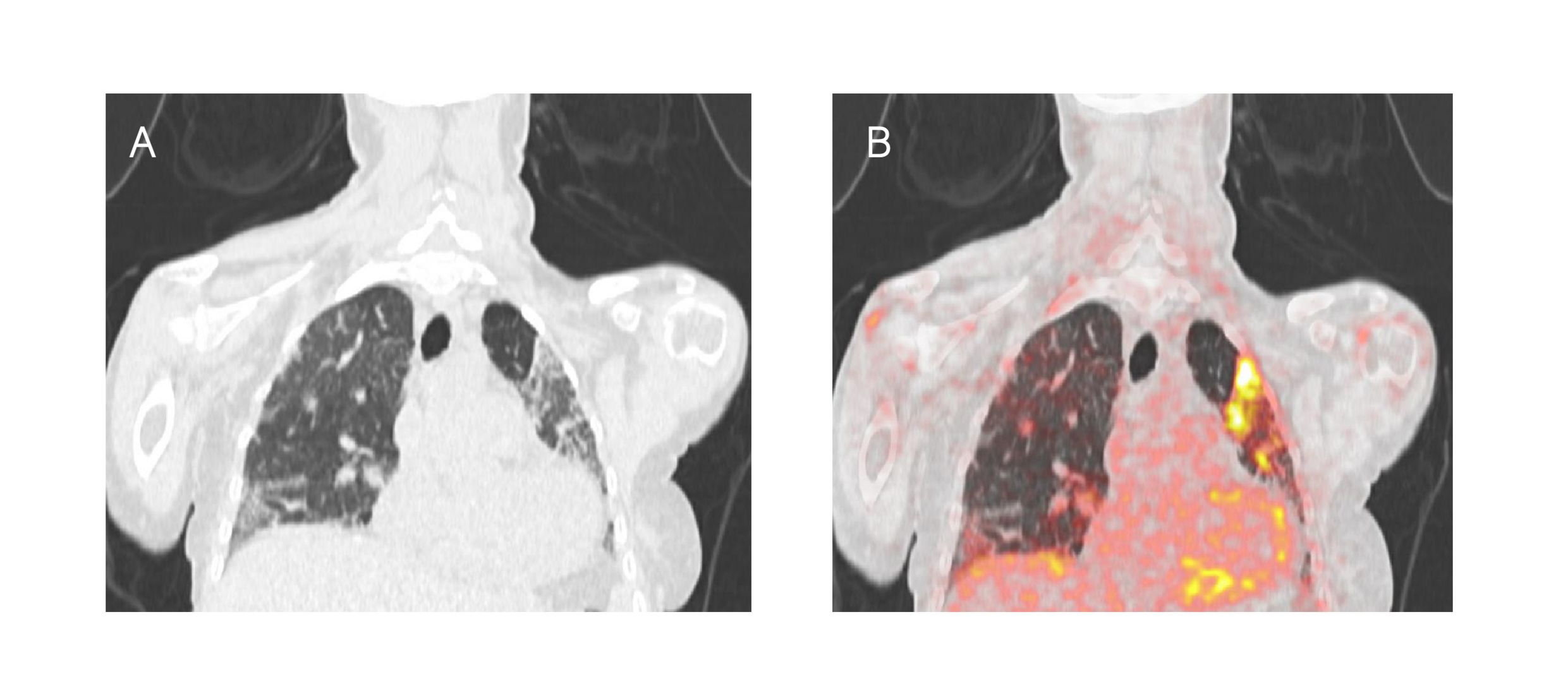
FAPI-Bildgebung
Interstitielle Lungenerkrankungen und Herzbeteiligung sind häufige Manifestationen oder Komorbiditäten rheumatischer und muskuloskelettaler Erkrankungen im Allgemeinen und von Bindegewebserkrankungen im Besonderen und tragen wesentlich zu Krankenhausaufenthalten, erhöhter Morbidität und Mortalität bei. In Zusammenarbeit mit der Abteilung für Nuklearmedizin der MUW untersuchen wir den Nutzen des ⁶⁸Ga-markierten Inhibitors des Fibroblasten-Aktivierungs-Proteins (FAPi) auf der Grundlage der Positronen-Emissions-Tomographie und der Computertomographie zur Visualisierung und Quantifizierung der Fibroblastenaktivierung in Lunge, Herz und Muskel von Patienten mit Bindegewebserkrankungen und anderen rheumatischen und muskuloskelettalen Erkrankungen.

[68Ga]68Ga-DATA5m.SA.FAPi-Aufnahme in der Lunge (Repräsentatives Bild eines Komputertomographie (A) sowie eines [68Ga]68Ga-DATA5m.SA.FAPi-PET-CT-Scans (B) von einem Patienten mit interstitieller Lungenerkrankung bei idiopathischer entzündlicher Myopathie.
Aptamere in Fibroblasten
Eine effiziente und rechtzeitige Behandlung der entzündlichen Arthritis wird durch die begrenzte Wirksamkeit der derzeitigen Medikamente sowie durch das Fehlen eindeutiger Marker für die Krankheitsaktivität stark behindert. Aptamere sind einzelsträngige RNA-Abschnitte, die so ausgewählt werden können, dass sie verschiedene Zielmoleküle, darunter auch Proteine, binden, und die in vielerlei Hinsicht Vorteile gegenüber klassischen Antikörpern bieten. In diesem gemeinsamen Projekt mit der Forschungsgruppe von Tamás Mészáros an der Abteilung für Molekularbiologie, Institut für Biochemie und Molekularbiologie, Semmelweis-Universität, Budapest, Ungarn, ist es unser Ziel, hochselektive Aptamere zu entwickeln, die Proteine neutralisieren können, von denen bekannt ist, dass sie eine Rolle bei der Aktivierung von Fibroblasten, Schlüsselzellen für die Entzündung der Synovialmembran, spielen. Die Entwicklung von Aptameren liefert Wirkstoffe mit potentiell therapeutischer Bedeutung, während jene, die gegen noch unbekannte Marker der Fibroblastenaktivierung entwickelt werden, bei der Charakterisierung der Lokalisierung solcher Zellen in Gelenken helfen können. Das Projekt wird durch den Österreichischen Wissenschaftsfonds finanziert.

Arbeitsablauf der Aptamer-Auswahl nach dem SELEX-Verfahren (Systematic Evolution of Ligands by EXponential enrichment). Design von Jessica Lange.
Anatomie des Bildes
In Zusammenarbeit mit der Universität Barcelona und der Abteilung für Radiologie der MUW führen wir eine vergleichende Bildgebungsstudie mit Ultraschall, Magnetresonanztomographie und Histologie durch, in der die Gelenkkapsel der Zehengrundgelenke, der Beitrag von Muskeln und Bändern zur Kapsel und das Vorhandensein und die Bedeutung funktioneller und anatomischer Anheftungen innerhalb und um das Gelenk untersucht werden.
Gelenkschmerz und psychiatrische Komorbiditäten
Frühere Studien unter der Leitung von Irina Gessl in unserer Gruppe haben untersucht, ob Gelenkschmerz ohne Schwellung als objektives Zeichen einer Gelenkentzündung bei Arthritis angesehen werden kann und Schmerz in nicht geschwollenen Gelenken ein Risikofaktor für eine Progression von strukturellen Schäden ist. Laufende Projekte untersuchen weiter, v.a. anhand von Bildgebung, die Bedeutung von Schmerz. Es besteht ein bidirektionaler Zusammenhang zwischen rheumatoider Arthritis, Psoriasis-Arthritis und Stimmungs- und Angststörungen, die auch die Aktivitätszeichen bei entzündlicher Arthritis beeinflussen können. Darüber hinaus wurde berichtet, dass die subjektive Krankheitswahrnehmung auch unabhängig von der Entzündung mit den von den Patienten berichteter Krankheitsaktivität in Zusammenhang steht. Ziel dieses Projekts ist es, den Zusammenhang zwischen Depressionen, Angstzuständen und Krankheitswahrnehmung mit subjektiven und objektiven Anzeichen einer aktiven Erkrankung bei Patienten mit entzündlichen Gelenkserkrankungen zu untersuchen und eine Gruppierung der Patienten nach diesen Variablen zu beurteilen.In weiterer Folge soll die Auswirkung einer Therapie von Depression und Angststörung auf subjektive und objektive Zeichen einer Krankheitsaktivität untersucht werden.
Technologie
Im Bereich der klinischen Forschung verfügt die Abteilung über mehrere High-End-Ultraschallgeräte sowie über die notwendigen Einrichtungen zur Durchführung von Synovialbiopsien. Die enge Zusammenarbeit mit der Abteilung für Radiologie und der Abteilung für Nuklearmedizin gewährleistet den Zugang zu modernsten bildgebenden Verfahren und Methoden. Die experimentellen Strategien im Labor umfassen modernste Technologien, darunter moderne molekularbiologische und fortschrittliche zellbiologische Techniken, eine Vielzahl immunologischer Instrumente sowie biochemische und molekulare Ansätze. Die Verwendung von menschlichem Patientenmaterial sowie von In-vivo-Modellen bietet die Möglichkeit, die translationalen Aspekte in allen durchgeführten Projekten zu betonen.
Ausbildung
Eine angemessene Ausbildung ist sehr wichtig, damit Rheumatologen die Ergebnisse fachgerecht anwenden und richtig interpretieren können. Es gibt ein wachsendes Netz europäischer Zentren, die auf dem Gebiet der Bildgebung bei rheumatischen Erkrankungen forschen. Wir bieten Schulungen zu neuen bildgebenden Verfahren an, insbesondere zum muskuloskelettalen Ultraschall sowie zu bildgebenden Verfahren, wie z. B. Synovialbiopsien. Postdocs und Doktoranden werden in einem kollaborativen Forschungsumfeld an hochmodernen Forschungsprojekten arbeiten. Interessierte Kandidaten können an den PhD-Programmen der Medizinischen Universität Wien teilnehmen.
www.meduniwien.ac.at/hp/phd-immunologie/
https://www.meduniwien.ac.at/hp/n790-mdr/
Bestehende Mentoring-Programme an der Medizinischen Universität Wien sowie nationale und internationale Kooperationen bieten eine hervorragende Basis für eine international erfolgreiche wissenschaftliche Karriere im akademischen Bereich und/oder in der Life Sciences Industrie. Zusätzliches Training im Verfassen von Publikationen und Förderanträgen, Begutachtung von Manuskripten und Präsentationen auf nationalen und internationalen Konferenzen ermöglicht es jungen ForscherInnen, eine individuelle Karriere als unabhängige/r ForscherIn aufzubauen.